Les pathologies bucco-dentaires
Douleurs au chaud, au froid, ou au brossage : comment soulager l’hypersensibilité dentaire ?
Votre chirurgien-dentiste est habilité à effectuer des injections d’acide hyaluronique dans la zone péri-buccale, ceci dans un cadre thérapeutique.
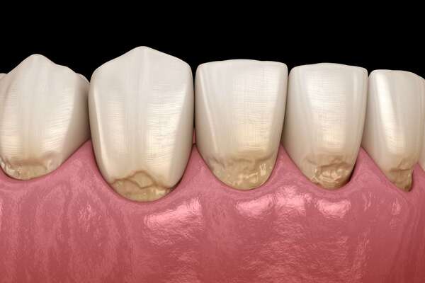
La mylolyse ou lésion cervicale d’usure se définit comme une perte de matière dentaire se localisant au collet de la dent.
Un kyste dentaire se présente en général sous la forme d’une masse arrondie ou ovale située à la racine de la dent.
L’endodontie s’attache à la prévention, au diagnostic et au traitement des maladies de la pulpe dentaire.
Une dent dévitalisée et soignée peut s’infecter et nécessiter une reprise du traitement de la racine ou « retraitement endodontique ».
Chez l’enfant comme chez l’adulte, tout accident qui affecte les dents est une urgence ! Quels
sont les premiers soins et le suivi dans la durée ?
Catégories
- Fiches conseils (139)
- Vidéos 3D (50)












